Skip to main content
Delta Dental Insurance Update:
As of March 1, 2026 we will be changing our network status with Delta Dental.
Learn More
Menu
Newport Beach Dental
Newport Beach
Dental
Home
About Us
About Us Overview
Our Doctors
Our Team
Office Tour and Experience
Blog
Dental Technology
Our Services
Our Services Overview
Preventive Care
Cosmetic Dentistry
Cosmetic Dentistry Overview
Smile Makeover
Trial Smile
Veneers
Invisalign
®
Teeth Whitening
Restorative Dentistry
Restorative Dentistry Overview
Dental Implants
Endodontics
Dental Crowns
Dental Bridges
Tooth-Colored Fillings
Tooth Extraction
Advanced Care
Advanced Care Overview
Sedation Dentistry
TMJ & Jaw Clenching
Sleep Apnea & Snoring
Patients Reviews
Online Reviews
Video Testimonials
Smile Gallery
Cosmetic Dentistry
Invisalign
Videos
Contact Us
Email Us
Locations/Hours
Virtual Consultations
Patient Portal
Suite 4
Dr. Barton
1901 Westcliff Drive,
Suite 4
Newport Beach, CA 92660
949.646.1120
Suite 7
Dr. Alder & Dr. Sellas
1901 Westcliff Drive,
Suite 7
Newport Beach, CA 92660
949.642.2300
X
Newport Beach Dental
Newport Beach
Dental
Home
/
Gallery
/
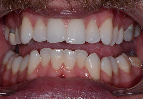
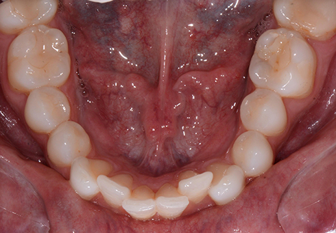
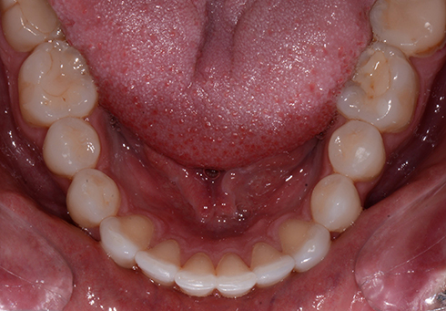
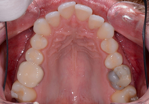
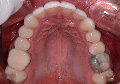
Patient 7
Patient 7
Previous Patient
Back to Gallery
Next Patient
Please ensure Javascript is enabled for purposes of
website accessibility