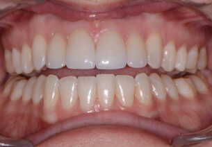
A dental veneer is a thin layer of material, such as porcelain, that is attached to your tooth to correct chips, stains, gaps, and other dental imperfections. Veneers are custom-designed to give you the shape, size, and color of smile you’ve always wanted. In many ways, porcelain veneers act like regular teeth and are virtually indistinguishable from your natural smile.
At Newport Beach Dental, our renowned cosmetic dentists, Lance Alder, DDS and Jake Barton, DDS, have crafted and placed countless porcelain veneers. Their goal is to make sure your new veneers improve your bite, enhance your smile, and boost your confidence.
Our dental veneers can turn you into a social butterfly. You’ll be showing off your new smile before you know it!
When created and placed by a qualified dental professional, veneers can provide a myriad of benefits. For one, they can conceal various aesthetic imperfections, not limited to minor misalignment, cracks, gaps, and discoloration. The use of durable materials like porcelain can create a lifelike shine that matches the shade of the smile. In addition, when patients adhere to proper oral hygiene, porcelain veneers can last for decades.
As with any dental procedure, the results of dental veneers are more likely to be successful in the hands of an experienced dentist. We advise you only to trust a respected dentist like Dr. Alder or Dr. Barton to perform this complex cosmetic procedure. For a sense of their exceptional results and friendly chairside manner, explore these patient reviews.

You may be a good candidate for porcelain veneers if you suffer from:
Moreover, the ideal candidate for porcelain veneers should be in good oral health. Please note that because veneers are primarily considered a cosmetic treatment, those whose concerns are both aesthetic and functional may be better suited for another procedure, such as dental crowns.
At your first visit, you will work together with our dentists to discuss your concerns about your smile and your goals. Photographs, impressions, and records will be taken so that your smile design can be perfected while you are out of the office. After you have approved your new smile design, we will get to work and place temporary veneers on your teeth for one to two weeks. These temporary veneers should look very close to the final result.
During this time, your smile design will be fine-tuned down to the smallest detail. In most cases, your dentist will remove a small amount from the front surface of the treated teeth. This is meant to encourage your veneers to fit securely and sit naturally in line with your other teeth. Although this process involves the removal of some enamel, it is typically minimal and localized.
Once your customized dental veneers are ready, you will return to your dentist’s office for placement. Your dentist will check each veneer’s fit, shape, and color, making any necessary adjustments to ensure a precise and natural-looking result. We will then clean, polish, and etch your teeth to promote optimal bonding. Finally, your dentist will apply a specialized dental adhesive and curing light to bond the veneers to your teeth.

“The process was ridiculously simple. Dr. Alder adjusted a few things that required no anesthetic and then he took an impression and then shown a model of what my teeth would look like. Overall, I’d say it was one of the best dental experiences of my life. I went from barely ever smiling to showing off my teeth – talk about a life changer.”
– LUBO S.
In most cases, recovery from porcelain veneers is very straightforward. Some individuals may experience slight sensitivity or discomfort after the procedure, but this should fade within a few weeks.
Dental veneers generally do not require any specific care beyond regular oral hygiene practices. Brushing your teeth twice daily, flossing daily, and visiting your dentist for regular cleaning and check-up is essential. Additionally, avoid biting or chewing on hard objects, such as ice or pens, to prevent damage to your veneers.
After the veneer placement, we may schedule a follow-up visit to evaluate the outcome and make any necessary final adjustments. This visit allows us to make sure that the veneers blend seamlessly with your natural teeth and provide a comfortable bite.

High-quality veneers can be a permanent solution when properly maintained (i.e., when the patient practices good oral hygiene and treats their veneers with care). Patients are often able to enjoy their effects for decades at a time.
Please reach out today for a consultation to see if veneers are the right cosmetic treatment option for you.